Healthy carotid arteries, one on each side of the neck, bring oxygen-rich blood to the front part of the brain responsible for your personality, speech, judgment, problem-solving, body movement and intelligence.
A waxy buildup of plaque (fatty substances and cholesterol) that narrows the arteries, however, increases your risk of stroke – the second-leading cause of serious long-term disability and the fifth-leading cause of death in the United States. The waxy buildup and hardening of the arteries, a condition known as atherosclerosis, is the primary cause of carotid artery disease.
Symptoms
The early stages of carotid artery disease are often unnoticeable. When the arteries are blocked 80 percent or fully blocked, you’re susceptible to a mini-stroke, or transient ischemic attack (TIA). Its symptoms resemble a full-blown stroke:
- Speech or comprehension difficulties.
- Numbness or weakness in part of the face, arms or legs.
- Dizziness.
- Vision difficult in one or both eyes.
- Severe headache that starts suddenly.
- If you experience any of these symptoms, call 911.
Causes
Researchers have linked carotid artery disease to damage in the inner layers of the carotid arteries. (Each carotid artery has an internal layer that delivers oxygen-rich blood to the brain and an external layer that supplies oxygen-rich blood to the face, neck and scalp.)
Here’s what contributes to the damage:
- Smoking.
- High blood pressure.
- Elevated levels of sugar in the blood (diabetes or insulin resistance).
- High cholesterol.
- Coronary artery or peripheral artery disease.
- Hereditary.
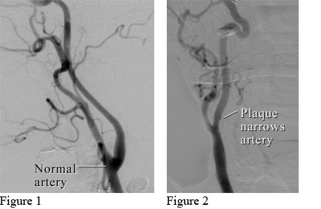
Here's what plaque buildup looks like in this angiogram of a carotid artery:

Plaque can form where arteries were damaged. Besides causing blockages, flakes of plaque can break away and travel to the brain. Or the plaque can rupture, allowing blood-cell fragments (platelets) to accumulate and possibly form blood clots.
- Risk factors for carotid artery disease:
- Diabetes.
- Smoking.
- Family history of atherosclerosis.
- Coronary artery or peripheral artery disease.
- Among people under age 75, men have greater risk.
- Among people older than age 75, women have greater risk.
- Sedentary lifestyle.
- Overweight, obesity.
- Stress.
- High blood pressure.
- High cholesterol.
- Diet high in saturated and trans fats, sugar, sodium and cholesterol.
Treatment
If tests reveal a carotid artery blockage of less than 80 percent, your doctor will monitor your condition with an ultrasound at least once a year. The rest is up to you.
Lifestyle Changes
The National Heart, Lung and Blood Institute, part of the National Institutes of Health, says your doctor will likely recommend a diet that includes:
- Fat-free or low-fat dairy products, such as fat-free milk.
- Fish high in omega-3 fatty acids, such as salmon, tuna, and trout, about twice a week.
- Fruits, such as apples, bananas, oranges, pears, and prunes.
- Legumes, such as kidney beans, lentils, chickpeas, black-eyed peas, and lima beans.
- Vegetables, such as broccoli, cabbage, and carrots.
- Whole grains, such as oatmeal, brown rice, and corn tortillas.
What to avoid:
- A lot of red meat.
- Palm and coconut oils.
- Sugary foods and beverages.
What makes your cholesterol levels rise:
Saturated Fat: Red meat is a primary source.
Trans fat, or trans fatty acids: Foods with hydrogenated oils and fats. Check the labels on baked goods, crackers, stick margarine and other foods.
Your goal: Limit saturated fat to no more than 6 percent of your daily calories. A 2,000-calories-a-day diet should cap saturated fat at 13 grams.
Also:
- Stop smoking.
- Lose weight, if necessary.
- Exercise at least 30 minutes a day.
- Control your blood pressure, blood sugar and cholesterol levels.
Medications
Aspirin and clopidogrel, sometimes together, are among the medications your doctor might recommend to prevent blood clots that can lead to a stroke.
If lifestyle changes don’t help control your cholesterol, blood pressure, blood sugar or anything else that might contribute to carotid artery disease, you doctor can prescribe medication to address those issues individually.
Procedures
If your carotid artery blockage exceeds 80 percent or causes symptoms that do not respond to either lifestyle changes or medication, two types of procedures are commonly available:
Carotid artery angioplasty and stenting: A widening of the arteries (angioplasty) to clear blood flow to the brain, then compressing the blockage against the artery wall using a stent – a small mesh tube – that reduces the chances of more narrowing or a blockage. (See illustration below.)

Carotid endarterectomy: To clean or open the carotid artery, a surgeon cuts into the blocked portion, removes the internal lining (and plaque) that’s causing the blockage and repairs the artery with a patch. (See illustration below.)
